超音波検査(エコー検査)とは
健康診断や診療で行われる「超音波検査(エコー検査)」。受けたことがある方も多いのではないでしょうか。
何をして、どんな検査をしているかをご説明します。
超音波検査(エコー検査)で調べられる部位

エコー検査は、高い周波数の音波(超音波)を使い、臓器の大きさや形状、動きなどを調べる検査です。
全身の臓器を調べられます。
ただし、超音波の特性上、肺や消化管、骨に囲まれた脳の観察は苦手です。
当クリニックでは、腹部の状態を調べるときに使用します。
超音波検査(エコー検査)は体に悪い影響はないの?
エコー検査は超音波を用いた検査です。放射線による被ばくや、検査中の痛みはありません。
お腹の中の赤ちゃんの検査にも用いられ、繰り返し検査を受けても身体に支障はありません。
腹部超音波検査(エコー検査)で調べること、わかること
クリニックで腹部エコーを行う場合は、こんな症状や診断がされた場合です。
- 腹部やみぞおち、背中、腰の痛みや違和感などの症状がある場合
- 頻尿が気になる場合
- 血圧が高い方
- 血液検査で異常(肝機能、脂質、糖尿病)の指摘をされた場合
- 尿検査で異常(尿潜血、尿タンパク)を指摘された場合
もちろん他にもありますが、このような場合、超音波検査(エコー検査)を行うことがあります。
そして超音波検査(エコー検査)を行うとわかる症状や病気がこちらです。
- 肝臓:脂肪肝、肝血管腫、肝硬変、肝臓がんなど
- 胆のう:胆のうポリープ、胆のう結石、胆のう腺筋症、胆のうがんなど
- 膵臓:膵炎、膵のう胞性腫瘍、膵臓がんなど
- 腎臓:腎結石、慢性腎臓病、腎炎、腎臓がんなど
- 膀胱:膀胱結石、膀胱がんなど
- その他:前立腺肥大、腹部大動脈りゅう、脾腫など
肝臓エコー検査・肝臓の脂肪化検査
肝臓エコー検査で調べること、わかること
肝臓のエコー検査は、腹部エコー検査に含まれます。
下記のような場合に検査が必要になります。
- ⾎液検査で肝機能異常を指摘された⽅
- ⾎液検査で⾼脂⾎症を指摘された、または治療中の⽅
肝臓エコー検査では、下記のことがわかります。
- 脂肪肝、肝硬変の有無とその程度
- 肝臓腫瘍の有無
脂肪肝とは?
脂肪肝とは、肝臓に中性脂肪が溜まった状態です。
メタボリックシンドロームに合併しやすく、放置すると肝硬変を引き起こす場合があります。
下図のように、肝臓と腎臓の濃淡の差(肝腎コントラスト)を脂肪肝の程度の参考基準にします。
正常な肝臓

正常な肝臓は腎臓とほぼ同じ濃淡を⽰します
脂肪肝

脂肪が溜まった肝臓は腎臓と⽐較して⽩く表⽰されます
肝脂肪化測定とは?
今まで、肝臓の脂肪化は「肝臓が腎臓より白い」「肝臓の深いところが黒い」「肝臓の血管などが見えづらい」といった見た目で評価をしていました。
肝脂肪化測定では、エコーの減衰を数値化できる最新技術で肝脂肪化の程度を計測します。
脂肪が肝臓へ推積すると超⾳波が通りにくくなる特徴(減衰)を利⽤して、肝脂肪化の程度を客観的な”数値“で把握できるようになりました。
従来の肝脂肪化評価

見た目で評価
肝脂肪化測定

客観的な”数値“で把握

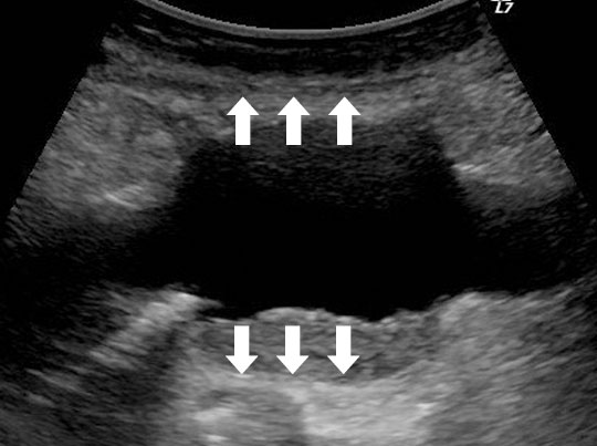
腹部⼤動脈エコー検査
腹部⼤動脈エコー検査で調べること、わかること
腹部⼤動脈エコー検査は、腹部エコー検査に含まれます。
下記のような場合に検査を行います。
- 腹部の拍動感、お腹の張り、腰痛などの症状がある⽅
- 動脈硬化、⾼⾎圧や⽣活習慣の乱れ(喫煙やストレス)などにより動脈瘤が懸念される場合
腹部⼤動脈エコー検査で、腹部⼤動脈瘤の有無と⼤きさがわかります。
正常な腹部⼤動脈のエコー画像

正常な腹部⼤動脈は太さがほぼ⼀定
腹部⼤動脈瘤のエコー画像

部分的に拡張している部位が腹部⼤動脈瘤
腹部⼤動脈瘤とは?

⼤動脈が病的に拡張した状態で、腹部エコー検査で簡単に⾒つけられます。
多くの場合、⾃覚症状なく拡張が進むため発⾒しづらい病気です。
腹部⼤動脈瘤が破裂すると出⾎多量で死に⾄ることもあります。
カテーテルによる低侵襲治療などで破裂を予防します。
前⽴腺エコー検査
前⽴腺エコー検査で調べること、わかること
前⽴腺エコー検査は腹部エコー検査に含まれます。
頻尿、排尿困難、残尿感などの症状がある場合に検査を行います。
前⽴腺の体積を測定することにより、前⽴腺肥⼤症の度合いがわかります。
エコー検査だけでは前⽴腺癌の確定診断はできません。
正常な前立腺のエコー画像

前⽴腺肥⼤症のエコー画像

前⽴腺肥⼤症とは?

前⽴腺の肥⼤は加齢に伴って増加し、特に50歳以上に多く⾒られます。
全ての⽅が治療を必要とする症状を伴うわけではありません。
排尿症状を伴う治療が必要な前⽴腺肥⼤症の頻度は全体の1/4程度と⾔われています。
頚動脈エコー検査
頚動脈エコー検査で調べること、わかること
頚動脈エコー検査を行うのは、下記のような症状や診断がされた場合です。
- ⾎圧が⾼い⽅
- コレステロールや中性脂肪が⾼い⽅
- 糖尿病の⽅
- ⽣活習慣が乱れている⽅(偏⾷、喫煙など)
頚動脈エコー検査を行うとわかる症状や病気はこちらです。
- 動脈硬化の進⾏度
- プラーク※の有無と⼤きさ
※プラーク︓余分なコレステロールが⾎管の内側に溜まってできたコブ

鎖⾻から下顎までの範囲の動脈を観察します
正常な頸動脈のエコー画像

全周性に薄い⾎管の内膜
プラークのある頸動脈のエコー画像

コブ状に蓄積したプラーク
動脈硬化とは?

動脈硬化とは、⽼化や様々な危険因⼦によって、本来しなやかな⾎管が硬くなることです。
多くの場合、無症状で進⾏します。
動脈硬化の進⾏でプラークが蓄積すると、⾎液の流れが障害されることがあります。
また、プラークの破綻は⼼筋梗塞や脳梗塞などを引き起こす可能性があります。
甲状腺エコー検査
甲状腺エコー検査で調べること、わかること
甲状腺エコー検査は、下記のような症状や診断がされた場合に行います。
- ⾎液検査などで甲状腺に異常を指摘された⽅
- 前頚部に腫れや痛みがある⽅
- バセドウ病(動悸、発汗、体重減少など)や橋本病(無気⼒、むくみ、寒がりなど)の症状がある⽅
甲状腺エコー検査を行うと、甲状腺の病気の原因である腫瘍とホルモン異常の有無が分かります。
腫瘍
- 良性腫瘍︓腺腫様結節、腺腫様甲状腺腫
- 悪性腫瘍︓甲状腺癌
ホルモン異常
- バセドウ病(甲状腺機能亢進)
- 橋本病(甲状腺機能低下)
- ⾼カルシウム⾎症(副甲状腺機能亢進)
正常な甲状腺のエコー画像

甲状腺がんのエコー画像

甲状腺とは?

のどぼとけの下にある蝶のような形をした臓器です。
新陳代謝を促進し、脈拍数や体温を調節するホルモンを分泌します。
乳腺エコー検査
乳腺エコー検査で調べること、わかること
乳腺エコー検査では下記の症状を調べることができます。
- 乳腺内の病変の有無(乳癌・その他の良性腫瘍)
- 乳腺炎の有無

正常な乳腺のエコー画像

乳がんのエコー画像

乳がんは早期発見・早期治療が重要です
乳がんは早期発⾒により⼿術時に乳房を温存できる確率が上がります。
また、発⾒時の⼤きさが⼩さいほど死亡率が下がります。
⽇本乳癌学会の乳癌診療ガイドラインによると、下記のような方は乳がんの危険度が高いとされています。
- 肥満
- 喫煙
- 初経年齢が早い
- 閉経年齢が遅い
- 出産経験が少ない、授乳歴がない(短い)
- 乳癌の家族歴
当てはまる方は定期的に検査を受けましょう。
⼼臓エコー検査
⼼臓エコー検査で調べること、わかること
⼼臓エコー検査は、下記のような症状がある場合に行います。
- 胸痛や息切れ(呼吸苦)、めまいがある⽅
- 聴診で⼼雑⾳を指摘された⽅
- ⼼電図で異常を指摘された⽅
- レントゲンやCTで⼼拡⼤を指摘された⽅
- ⾝体にむくみがある⽅
- ⼼筋梗塞や狭⼼症の既往がある⽅
- ⾎圧が⾼い⽅
⼼臓エコー検査を受けることにより、下記の病気がわかります。
- 弁膜症、⼼筋梗塞、先天性の⼼臓病
- 上記の疾患による⼼臓への負担の程度
- ⾼⾎圧による⼼臓の肥⼤の有無や程度
正常な心臓のエコー画像

弁膜症(僧帽弁逆流)のエコー画像

心臓の構造と役割
心臓には図のように4つの部屋があり、それぞれ“弁”で隔てられています。
ポンプの動きに応じて弁が開閉し⾎液の逆流を防いでいます。
心臓は、全⾝に⾎液を送り出すポンプの役⽬をしています。

下肢動脈エコー検査
下肢動脈エコー検査で調べること、わかること
下肢動脈エコー検査は、下記のような症状がある場合や診断をされた場合に行います。
- CAVIやABIなど他の検査で異常を指摘された⽅
- 下肢の痛みが強く、⻑い距離を休憩なしで歩けない⽅(間⽋性跛⾏がある⽅)
- 下肢の冷感が強い⽅
下肢動脈エコー検査でわかるのは下記の症状です。
- 下肢動脈の動脈硬化の有無
- 下肢動脈の詰まり
正常な下肢動脈のエコー画像

動脈の⾎液が順調に流れている(⾚︓動脈、⻘︓静脈)
閉塞性動脈硬化症のエコー画像

プラークにより⾎液の流れ(通り)の障害になっている
閉塞性動脈硬化症とは?
動脈硬化により⾜の⾎管が詰まり、⾜の⾎の巡りが悪くなる病気です。
冷感・しびれ・歩⾏時の痛みなどの症状が出現し、進⾏すると壊死に⾄る場合があります。
肥満・⾼⾎圧・糖尿病・喫煙などが原因と⾔われています。
正常な下肢動脈の模式図

正常な⾎管では⾎液が順調に流れます
閉塞性動脈硬化症の模式図

部分的に⾎管が細くなり、⾜先へ流れる⾎液が減り、冷感や痛みが⽣じます
下肢静脈(深部)エコー検査
下肢静脈(深部)エコー検査で調べること、わかること
下肢静脈(深部)エコー検査を行うのは、下記の症状がある場合です。
- 下肢のむくみがある⽅
- 下肢の腫れ、痛み、熱感などの症状がある⽅
下肢静脈(深部)エコー検査を行うことにより、下記の病気がわかります。
- 下肢静脈内の⾎栓の有無
- 下肢静脈の⾎流の滞り
正常な下肢静脈のエコー画像

深部静脈⾎栓症の静脈のエコー画像

⾎管内に形成された⾎栓とそれにより拡張した静脈
深部静脈⾎栓症とは?
下肢の静脈に⾎栓ができて、⾎管が完全に詰まると⾎液がせき⽌められ滞り、下肢にむくみが出現します。
下肢静脈にできた⾎栓が⾎管の壁から剥がれて⾎流に乗り、肺の⾎管に詰まると胸の痛みや息苦しさなどが出現します。(エコノミークラス症候群)
正常な下肢静脈の模式図

⾎液は滞りなく全⾝を循環する
深部静脈⾎栓症の静脈の模式図

⾎栓により⾎液の流れが滞り、⾎栓より下流域の⾎管が拡張するため、下肢にむくみが⽣じます
気になる症状があるなら一度超音波検査を受けましょう
気になる症状がある方や、健康診断で異常を指摘された方は、一度超音波検査(エコー検査)を受けてみましょう。
エコー検査は、痛みや被ばくの心配がなく、身体への負担がほとんどない検査です。
検査中もリラックスして受けられ、結果をその場で確認できる場合も多いため、早期の異常発見にもつながります。
お腹の張りや違和感、みぞおちの痛みなど、少しでも気になる症状がある場合は、無理をせずご相談ください。
「何もなければ安心」「早く見つかれば治療がスムーズ」といった安心感を得るためにも、エコー検査を気軽にご活用いただければと思います。